2025.10.17

目次
はじめに
今回は、20代の患者さまの「ガタガタ(叢生)」をワイヤー矯正で治療している症例をご紹介します。
「矯正を始めたいけど、歯を抜くのは不安…」「歯を抜いたワイヤー矯正ってどうやって治っていくの?」「抜いたところの隙間はどうなるの?」といったご質問をよくいただきます。
そんなお声に対して今回は、実際に20代女性の患者さまがどのように変化していったのかをご紹介します。
初診時の状態
【お悩み】
今回ご紹介するのは、前歯の出っ張り(上顎前突)とガタガタ(叢生)を気にされて来院された20代女性の患者様です。
- 「前歯が出ているのが気になる」
- 「歯並びがガタガタで磨きにくい」
というお悩みがあり、見た目と清掃性の両面から矯正治療を希望されました。
- 年齢:20代
- 主訴:前歯が出ているのと、ガタガタが気になる
- 診断名:上顎前突(過蓋咬合)、叢生
- 治療の選択肢:
- ワイヤー矯正
- マウスピース矯正
- 実際の治療計画:ワイヤー矯正にて上顎両側小臼歯2本抜歯することで叢生と上顎前突を改善させる
ガタガタを放置すると?
■ ガタガタ(叢生)のデメリットは
- 歯みがきがしにくく、虫歯や歯周病になりやすい
- 見た目のコンプレックスにつながりやすい
- 噛み合わせのバランスが悪く、顎関節に負担がかかることも
などが挙げられます。
ガタガタのお悩みは多くの方がお持ちで、ご相談に来られる方の半分以上はこのガタガタが気になるとおっしゃります。
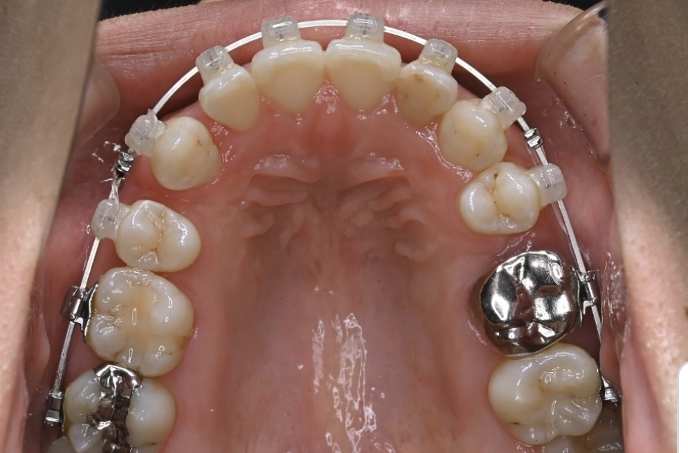
治療内容
- 使用装置:ワイヤー矯正
- 治療期間:12ヶ月(途中経過)
- 装着時間の目安:常時ワイヤーは装着されている状態
- 補助的な処置:顎間ゴム・IPR(歯の間をわずかに削る処置)を少量実施
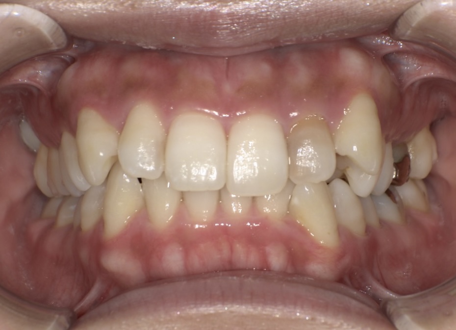
治療前
最初に来られた際の写真です。上の前歯が前側にありますが内側を向いており、前歯の噛み合わせが深い状態であり、ガタガタもあります。



治療経過(半年後)



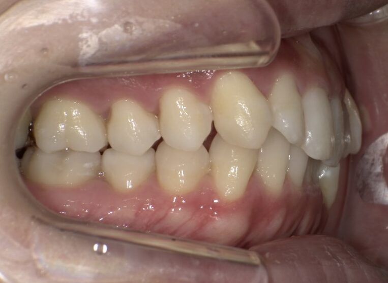
治療経過(1年後)
治療開始からわずか1年で、
✅ 前歯のガタガタがかなり整いました
✅ 前歯の噛み合わせも改善しました
写真で比較すると、その変化は一目瞭然です。



いかがでしょうか?
内側を向いていた上の前歯は良い角度になり、下の前歯も正常に近い見え具合となりました。抜いたところの隙間は順調に閉じ、ガタガタもなくなりました。
治療開始から半年ほどで、前歯の重なりは徐々に改善し、清掃性も向上してきました。患者さま自身も「磨きやすくなった」と実感されています。
あとは微調整を数回行い、装置を撤去していく予定となっております。
ワイヤー矯正のメリット・デメリット
✅ メリット
- 幅広い症例に対応できる
- 軽度〜重度の歯並びの乱れまでほとんど対応可能。
- マウスピース矯正では難しい症例でも治療できる。
- 仕上がりの精度が高い
- ワイヤーを細かく調整できるため、最終的にきれいな歯並びを目指せる。
- 治療実績が豊富で安心
- 歴史が長く、世界的にもスタンダードな矯正方法。
- 歯科医師が経験を積んでいるので安心感がある。
- 治療中の途中変更も柔軟
- 歯の動きや治療経過に合わせて調整可能。
- 新しい矯正法に比べて価格設定が明確。
⚠️ デメリット
- 見た目が気になる
- 歯の表側に装置がつくため目立ちやすい。
- ただし「白いブラケット」「ホワイトワイヤー」で目立ちにくくできます。
- 食事に制限がある
- 固いもの・粘着性のある食べ物は注意が必要。
- 装置が外れる・壊れるリスクもある。
- 歯磨きが難しくなる
- 装置の周りに食べかすが残りやすい。
- 虫歯や歯肉炎のリスクがあるため丁寧なケアが必要。
- 違和感や痛みがある
- 装置をつけた直後や調整後は、数日間痛みを感じることが多い。
当院のこだわり
👀 目立ちにくく痛みが少ない矯正装置
当院では、白いブラケットやホワイトワイヤーなど、できるだけ目立たない装置を採用しています。装置自体も痛みが少なくなるように設計されたものを採用しております。
「矯正したいけれど見た目が気になる…」という方も安心して治療を始められます。
🦷 精密な診断にもとづく治療計画
矯正用CTやセファロ分析などの精密検査を行い、患者さま一人ひとりに合わせた治療計画を立てています。特にAIを使用した横顔などの顔貌変化のシミュレーションは視覚的に患者さまに納得いただけるため積極的に採用しております。
その結果、通常よりも短期間での治療完了を目指すことができます。
👩⚕️ 夫婦ともに日本矯正歯科学会認定医
当院は、夫婦二人ともが日本矯正歯科学会認定医の資格を有しています。
二人で連携しながら複数の視点で診断を行うことで、より精度の高い治療を実現。
小さなお子さまから大人の方まで、安心してお任せいただけます。
🧼 治療中のサポート体制
装置がついている間は虫歯や歯肉炎のリスクが高まります。
当院では矯正専門の歯科衛生士によるクリーニングやセルフケア指導を行い、治療中も健康な口腔環境を保てるようサポートしています。
🤝 丁寧なコミュニケーション
治療方法や期間、費用などについて分かりやすく丁寧に説明し、納得して治療を始めていただけるよう心がけています。
不安や疑問があればいつでもご相談ください。
まとめ
20代の上顎前突やガタガタにお悩みの方でも、
ワイヤー矯正1年足らずででここまで治せるケースがあります。
「ワイヤー矯正=目立つし痛い?」
「抜歯矯正は失敗が多い?」
そんなイメージをお持ちの方も、ぜひ一度ご相談ください😊
| 年齢・性別 | 20代 女性 |
| 治療内容 | ワイヤー矯正 |
| 治療期間 | 12か月(治療途中) |
| リスク・副作用 | 装置装着時の歯磨きが不足すると虫歯の可能性があります 装置の使用が守れない場合は治療結果に差が出ます 歯の痛み、虫歯や歯周病、口内炎、発音障害、歯肉退縮、歯根吸収、歯髄壊死、食事制限、知覚過敏、治療後の後戻りなど |
| 治療費用 | 検査診断4.4万 装置施術料84.7万 保定装置6.6万 |
最後に
矯正治療は、人生でそう何度も経験することではありません。
だからこそ、見た目・機能・長期安定性のすべてを大切にした治療を受けていただきたいと考えています。
「歯並びが気になってうまく笑えない」
「ロゴボが気になるけど、老けて見えるのは避けたい」
「自然な横顔で矯正治療をしたい」
そんな方は、ぜひ一度当院までご相談ください。

土屋 聡 (歯学博士)
門真おとなこども矯正歯科 院長
日本矯正歯科学会認定医
インビザラインドクター
北海道矯正歯科学会
📍京阪大和田駅 徒歩2分
門真・守口・寝屋川・大東エリアの歯並び専門クリニック
門真おとなこども矯正歯科
電話番号:072-813-4618
〒571-0063
大阪府門真市常称寺町18-4 フリーディオ門真V 1階